
Setonix Pharmaceuticals (named after an iconic Western Australian marsupial, the Quokka) builds on research breakthroughs from The Kids Research Institute Australia and the University of Western Australia.
This work is funded by a CUREator grant from the Federal Government's Medical Research Future Fund.
CUREator, Australia’s national biomedical incubator managed by Brandon BioCatalyst, awarded the only grant for Western Australia to Setonix Pharmaceuticals.
The goal
Immunotherapy is a type of treatment that boosts the immune system to fight cancer, which has shown tremendous results, but only in some cancers and in some patients. Most patients currently do not experience any benefit from immunotherapy.
Setonix Pharmaceuticals aim to develop orally available immunotherapy drugs that are optimally effective with minimal side effects, improving outcomes for cancer patients.

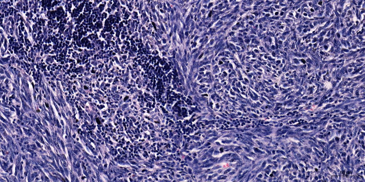
Pictured: Immune cells (dark blue) infiltrating into a cancer (light blue).

Pictured: Activated immune cells (red) infiltrating into a tumour (blue).



